לפני מספר חודשים נפצעה פ' הקטנה בפיצוץ שאירע במקום מגוריה שבסוריה. כשהיא סובלת מפגיעות רסיסים בכל גופה, הובהלה הילדה אל בית חולים מאולתר בארץ הולדתה, כדי לקבל טיפול רפואי ראשוני. תוצאות הפציעה היו לא פשוטות ונגרמה לה נכות.
אולם, הדרמה הרפואית, כך מסתבר, לא הסתיימה כאן. באחד הסקירות שעברה המטופלת הצעירה בבית החולים המאולתר, ראו הרופאים כי רסיס מתכת חדר לבית החזה של הילדה. מפאת האמצעים הטכנולוגים שעמדו לרשותם לא יכלו הרופאים לקבוע במדויק עד כמה הרסיס קרוב ללב, אך הם הבינו שמדובר בבעיה מסכנת חיים והמליצו להעבירה מיד לישראל. החשש היה שבכל רגע נתון יכול הרסיס להינתק מהמקום שבו הוא נמצא, אל עבר ליבה של הילדה הקטנה, ולהרוג אותה במקום.
לפני כמה ימים הגיעה הפעוטה אל רמב"ם, אחד מבתי החולים בצפון, המטפלים בפצועים סורים, להמשך טיפול. צוות רפואי רב-תחומי ובראשו ד"ר צביקה אדלר, רופא בכיר במחלקת כירורגית ניתוחי לב, המנתח מבוגרים וילדים, קיבל את הפעוטה וניגש למשימה.
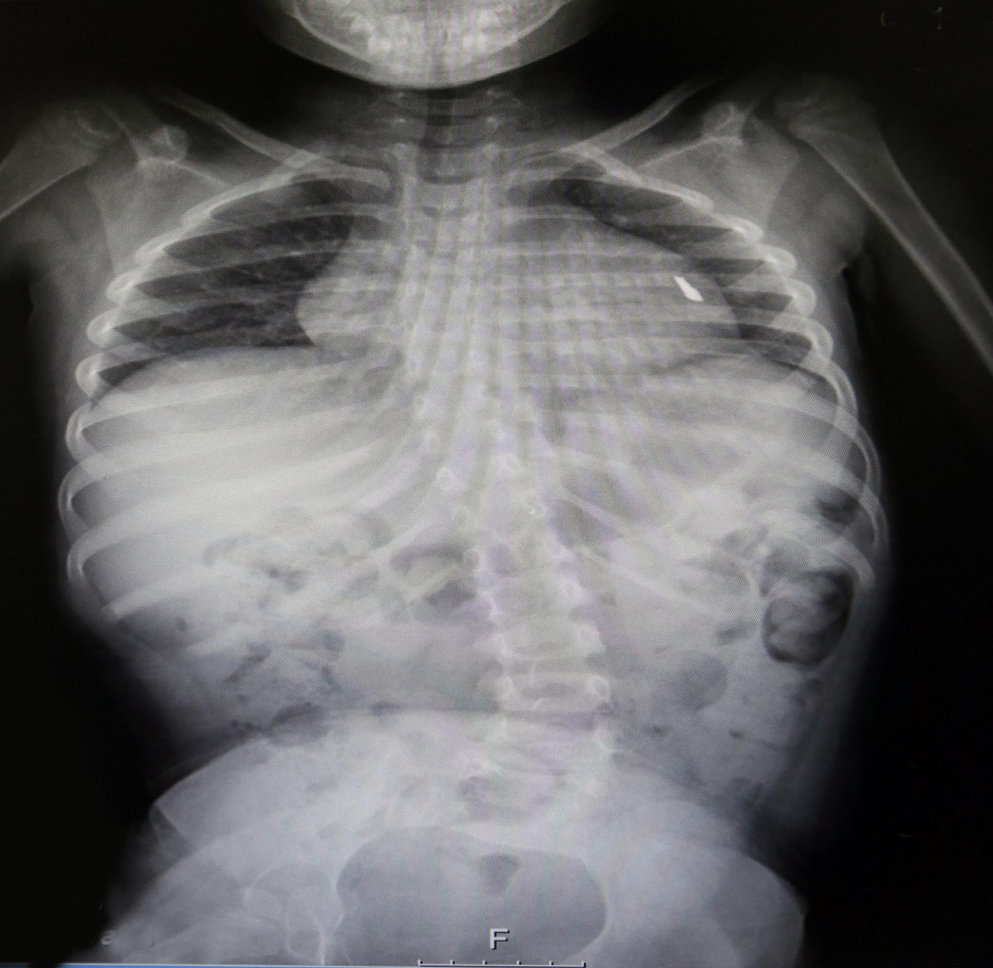
עם הגעתה לרמב"ם, בצעו הרופאים מספר בדיקות דימות, על מנת לבדוק מה מיקומו המדויק של הרסיס ומה גודל הסכנה. תוצאות הבדיקה הותירו את הרופאים המומים: הרסיס חדר למעשה את קרומי הלב ואף עבר באופן חלקי את דופן הלב עצמו. במשך חודשים ארוכים הילדה הקטנה הסתובבה עם רסיס נעוץ בליבה, כאשר כל דקה יכולה להיות האחרונה בחייה.
בתוך פרק זמן קצר הוכנסה פ' הקטנה לניתוח חירום, כאשר במהלכו בוצעה תחילה פתיחה של בית החזה בפעוטה. לאחר מכן אתרו הרופאים את הרסיס שסיכן את חייה, ובעדינות שלפו אותו ממקומו, תוך שהם נזהרים שלא לפצוע את הרקמה או לפגוע בכלי דם חשובים. בתום הניתוח, שהסתיים בהצלחה, אושפזה הילדה במחלקה לטיפול נמרץ בבית החולים "רות" לילדים ברמב"ם, ואתמול, אחרי שהתאוששה היא הועברה למחלקת ילדים רגילה להמשך השגחה.
"השתלשלות האירועים כאן היא מדהימה", מסכם ד"ר אדלר את הימים האחרונים, "לפעוטה הסורית היה מזל גדול. כל הזמן הזה היא חיה כאשר סכנה ממשית לחייה מרחפת מעל ראשה. אנו צופים לה החלמה מלאה מהפציעה בלב ומקווים לטוב עבורה ועבור משפחתה".
בצילום הרנטגן: הרסיס בליבה של הפעוטה, כפי שנראה בבדיקה.





